Common Orthodontic Issues

Everyone’s smile is unique, but certain orthodontic concerns are more common than others. From crowding and spacing to bite problems, these issues can affect not just the look of your smile, but also your oral health and comfort. Below are some of the most frequent orthodontic concerns we treat, along with how orthodontics can help create a healthier, more balanced smile.
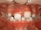
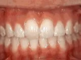
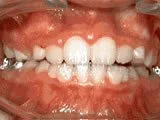
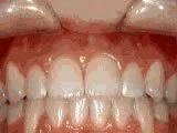
Crowding of the Teeth
When teeth do not have enough space to fit properly, they can become rotated, overlapped, or pushed out of alignment. Orthodontic treatment gradually moves the teeth into proper positions, creating a healthier, more attractive smile and improving bite function.
Before
After
Open Bite – Front Teeth Don’t Touch
An open bite occurs when the upper and lower front teeth do not meet when the mouth is closed. This can be caused by habits such as thumb sucking or tongue thrusting. Treatment may include braces and appliances that retrain the tongue, allowing for proper biting and chewing.
Before
After
Deep Overbite – Lower Front Teeth Bite Into the Palate
A deep overbite happens when the upper front teeth excessively overlap the lower front teeth, sometimes causing the lower teeth to bite into the roof of the mouth. Left untreated, this can lead to gum damage, tooth wear, or jaw discomfort. Orthodontics can correct the alignment and bite.
Before
After
Missing Lateral Incisors
Some people are born without certain teeth, such as the lateral incisors next to the upper front teeth. Braces can be used to move existing teeth into the right positions, and the missing teeth can be replaced with restorations such as bridges or implants.
Before
After
Underbite – Lower Front Teeth in Front of Upper Teeth
An underbite occurs when the lower front teeth extend beyond the upper front teeth. This can cause jaw discomfort, excessive tooth wear, and difficulties with chewing. Orthodontic treatment repositions the teeth and bite for better function and appearance.
Before
After
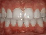
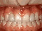
Spacing of Teeth
Extra space between teeth can result from small teeth, missing teeth, or natural jaw spacing. Orthodontics can close these gaps for a more uniform smile, often with retainers to maintain the results.
Before
After
Overjet – Protruding Front Teeth
An overjet is when the upper front teeth extend too far forward beyond the lower teeth. This can be due to jaw growth patterns or habits such as thumb sucking. Treatment aligns the bite and improves facial balance.
Before
After
Non-Braces Treatment
In some cases, significant improvements can be made without braces. For example, mild crowding in children can sometimes be addressed by adjusting the size or shape of nearby baby teeth, allowing permanent teeth to align naturally.
Before
After
Phase-One (Early) Treatment
Early orthodontic intervention, often done between ages 7–10, can address crowding, bite issues, or jaw growth problems before all permanent teeth come in. This may involve expanders, partial braces, or other appliances to improve function and appearance early on.
Before
After